lock jaw treatments manjeri

LASER DENTISTRY

KEEP SMILING, IT IS ” BEAUTIFUL”

Teeth become less whiter as the mineral structure of your teeth changes when enamel becomes porous. Teeth can also become discoloured due to smoking, coffee, red wine and fluoride from tap water.

LASER TEETH WHITENING

Quicker, easier and most effective TEETH WHITENING system available. Complete whitening can be achieved in less than half an hour. LASER TEETH WHITENING involves a whitening gel application and activation by LASER.

ADVANTAGES

  • Due to the high penetration of laser it can go deeper and give excellent results.

  • No damage to the teeth.

  • Fastest teeth whitening system available.

  • No discomfort.

jaw shift treatments manjeri

LASER SMILE DESIGNING "CREATING BEAUTIFUL SMILES"

A persons SMILE is one of the first things people notice. With LASER SMILE DESIGNING , you have the smile you want to feel more healthy and confident.

The use of LASER , SMILE DESIGN is by gentle gum contouring, is performed to create a more natural looking FULLY FORMED SMILE.

To design the optimal outcome for a patient during aesthetic enhancement , the restorative dentist should seek to create a symmetrical and harmonious relationship between the lips, gingival architecture and the positions of natural dentate forms.

DENTAL LASERS are minimally invasive, reduces discomfort therefore increases patient acceptance.

space of teeth treatments manjeri

ADVANTAGES

  • Minor procedure.

  • No bleeding

  • No pain or discomfort.

  • No or very less anaesthesia.

  • Very fast healing.

  • No medication needed.

  • Excellent results.

  • No scar tissue formation.

  • No swelling.

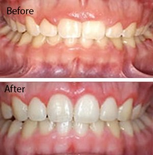
LASER FRENECTOMY

There are several frenum present in the mouth. In the upper teeth tissue that connects gum to lip is called as LABIAL FRENUM. In lower teeth the tissue that attaches tongue to the floor of the mouth is called LINGUAL FRENUM. When this frenum are too wide or long, it can create space between upper front teeth , cause difficulty in upper lip and tongue movement, can lead to difficulty in speech and breast feeding in newborns. This can be corrected simply by LASER FRENECTOMY.

proclined teeth treatments manjeri

ADVANTAGES OF LASER FRENECTOMY

  • Very short treatment time ( 1 to 2 minutes).

  • No bleeding.

  • No need for sutures.

  • No need for aneasthesia.

  • Rapid healing and recovery.

  • No discomfort

  • Minimal chance of reattachment

  • Minimally invasive

  • Feeding can be attempted immedietly after the procedure.

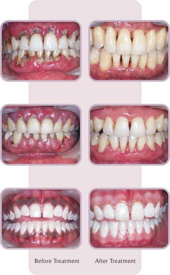
LASER GINGIVOPLASTY

RECONTOURING the gum using laser with removal of diseased or overgrown gum tissue.

INDICATIONS

  • GUM enlargement.

  • To increase clinical crown height.

  • Gummy smile correction.

  • Elimination of suprabony fibrous and firm pockets.

ADVANTAGES

  • No pain or discomfort.

  • No damage to gums.

  • No bleeding or swelling.

  • No or very less anaesthesia.

  • Enhances calculus / tartar elimination

  • No scar formation.

  • Excellent results.

  • Faster healing.

  • Less medication.

brocken teeth treatments manjeri
Snoring Treatments manjeri
disturbed sleep treatments manjeri

LASER GINGIVECTOMY

RESHAPING of the gum tissue around the teeth, with LASER.

INDICATIONS

  • Gummy smile correction.

  • Elimination of gingival enlargement.

  • Elimination of suprabony pockets.

  • Elimination of suprabony abscess

  • ADVANTAGES

    • Pain free treatment

    • No bleeding

    • Faster healing

    • More comfort to the patient

    • Less medication

    • No damage to gums.

    • No or very less anaesthesia

    • Excellent results

    .

    grinding of teeth during sleep treatments manjeri

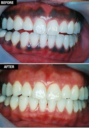
    MELANIN DEPIGMENTATION - GET YOUR SMILE BACK

    Melanin is one of the most common natural pigment contributing to the colour of your gums. Abnormal deposition of melanin deposition gives black or dark brown gums. It is one of the main causes for a darker smile. MELANIN DEPIGMENTATION WITH LASER It is the most effective and latest technology with which the normal colour of gums can be restored.

  • Very minor procedure.

  • Safe and Effective.

  • Minimal discomfort

  • No bleeding

  • Excellent results

  • mouth breathing treatments manjeri

    LASER ASSISTED ROOT CANAL TREATMENT

    Advantages

    • Focussing the bacteria and infected area with greater accuracy.
    • Less bleeding and inflammation.
    • More precise than traditional method.
    • Reduce the discomfort of the patient.
    • Prevents reinfection – Because of the efficacy of LASER to reach and clean the accessory canals.
    • Better Canal Sterlisation – Atleast 99.7 % reduction in bacterial count.
    tmj pain centre kerala

    LASER FLAP SURGERY

    Latest innovation in the treatment of gum diseases is LASER ASSISTED FLAP SURGERY WITH BONE GRAFT. Flap surgery is a surgical procedure by which the tartar deposits and unhealthy tissues are removed from deep pockets.

    Advantages of LASER ASSISTED FLAP SURGERY

    • Minimal discomfort.

    • Less or no bleeding or swelling

    • Very short healing time.

    • Less or no sutures.

    • Deeper penetration of the laser gives perfect results and healing.

    tmj disorder treatments kerala
    tmj disorder treatments kerala