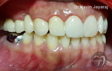
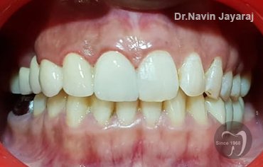
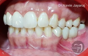
METAL FREE CROWNS AND BRIDGES

Metal-Free crowns are the new highly aesthetic crowns entirely made of ceramic without of metal. They can imitate natural charecterestics of teeth, transmitting light like natural teeth. They provide excellent aesthetics, fit in alignment much better and particularly and if only some teeth are restored it is impossible to make a difference between them and natural teeth. They are made of highly biocompatible materials and do not cause any reaction to the surrounding tissues, enabling the gums to shape around them as if they were natural teeth. Metal-Free crowns have supreme quality and durability.

  • tmj pain centre kerala
  • tmj pain centre kerala
  • tmj pain centre kerala

The removal of dental substance [filing down of teeth] is far less extensive in the case of Metal-Free crowns. In case of a Metal Ceramic crown where it is necessary to remove 1.5 -2.0 mm of tooth material , the Metal-Free crown needs only 0.3-1.0mm tooth removal. Metal- Free crowns are made of ZIRCONIUM or LITHIUM--DISILICATE ceramic, materials similar to glass and it is light and transparent, at the same time as resistant as natural teeth.

Crowns made of ZIRCONIUM are a very popular now. ZIRCONIUM has exquisite mechanical properties. This white material is one of the most solid ones. Initially used in SPACE TECHNOLOGY, after long time research, it was also applied in some branches of medicine, eg in orthopaedics for the production of artificial hips. Crowns made of Zirconium have extraordinary aesthetic and mechanical properties, owing their expansion to the possibility of producing wide span METAL-FREE BRIDGES.

DIGITAL SHADE SELECTION TECHNOLOGY

We use VITA-5 the LATEST SHADE SELECTION SCANNER to select the shade of the tooth in three dimensions of the colour. It will give the perfect match and it is impossible to make a difference between the natural teeth.

FABRICATION OF METAL-FREE CROWNS AND BRIDGES

After the tooth preparations are done the impressions are taken with RUBBER-BASE impression system the most perfect method in impression making. The colour of the crown is recorded in 3 dimensions using VITA-5 DIGITAL SHADE SCANNER . The lab uses the latest CAD/CAM [COMPUTER AIDED DESIGN AND COMPUTER AIDED MANUFACTURING SYSTEM] for the fabrication of the crown.