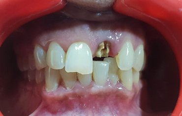
DENTAL IMPLANT is an artificial root placed into the jaw to hold a MISSING TOOTH.

Best option for who have lost a single tooth.
In case of more missing teeth, multiple implants are placed and they are joined by IMPLANT PROSTHESIS.
In case of completely missing teeth implant supported DENTURES can give better retention and stability and hence chewing efficiency is more.
After clinical examination and radiographic assessment[ CBCT, OPG], a small opening is made in the gums to expose the bone. Surgical guides are prepared and implant made up of TITANIUM is placed. Once the IMPLANT is placed, bone is deposited and the implant unites with the bone. After placing the implant perfectly, ABUTMENT is placed . Abutment is a post that connects implant to the prostetic tooth. After 2-3 weeks artificial tooth is placed.
Missing teeth can significantly impact your confidence and overall appearance, making it difficult to achieve a perfect smile. Gaps in your teeth not only affect aesthetics but also lead to issues like difficulty in chewing, speech problems, and even jawbone deterioration over time. Fortunately, modern dental solutions like implants provide a permanent and natural-looking replacement. If you're looking for an Implant Center in Manjeri, you can get expert care and advanced treatment options to restore your smile seamlessly.
The choice of implant depends on factors such as jawbone density, gum health, and personal preferences. Some popular implant options include:
If you're considering dental implants, visiting Modern Dental Clinic - Best Implant Center in Manjeri ensures expert guidance, top-quality materials, and the latest technology for a comfortable and lasting solution. Schedule a consultation today and restore your confident smile!
💡 Tip: Maintaining proper oral hygiene and regular dental check-ups will help extend the life of your implants, ensuring a healthy and beautiful smile for years to come.